Sommaire

Introduction : Quand le Talon Parle, l’Intestin Écoute ?
Vous souffrez d’une douleur lancinante sous le talon, particulièrement vive le matin au premier pas ou après une période d’immobilité ? On vous a probablement parlé d’épine calcanéenne ou de fasciite plantaire. Les traitements classiques (étirements, semelles, ondes de choc) vous ont-ils apporté un soulagement limité ou temporaire ? Et si la clé de votre guérison se trouvait ailleurs, par exemple dans votre assiette ou la santé de votre foie ?
L’idée peut paraître surprenante, voire farfelue. Pourtant, de plus en plus de professionnels de santé (naturopathes, micronutritionnistes, mais aussi certains médecins) s’intéressent au lien entre les douleurs musculo-squelettiques chroniques et l’état de notre système digestif. L’épine calcanéenne, souvent réduite à un simple problème mécanique, pourrait en réalité être le symptôme visible d’un déséquilibre interne plus profond, impliquant l’intestin (notre “deuxième cerveau”) et le foie (notre usine de détoxification) .
Bien sûr, il ne s’agit pas de nier l’évidence : une mauvaise posture, un surpoids ou des chaussures inadaptées sont les causes premières et majeures de l’épine calcanéenne. Mais comprendre comment un terrain inflammatoire, nourri par un déséquilibre digestif, peut aggraver et chroniciser la douleur ouvre la porte à une prise en charge bien plus complète et durable .
Qu’est-ce que l’Épine Calcanéenne ? (Rappel des Bases)
Avant d’explorer les liens systémiques, il est essentiel de bien comprendre ce qu’est cette fameuse épine.
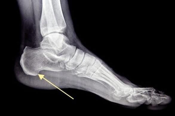
Définition et Mécanisme de Formation
L’épine calcanéenne (ou épine de Lenoir) est une excroissance osseuse qui se forme sur le calcanéum (l’os du talon), généralement à l’endroit où s’insère l’aponévrose plantaire . Cette formation est souvent la conséquence d’une fasciite plantaire, c’est-à-dire une inflammation chronique de l’aponévrose, cette épaisse bande fibreuse qui soutient la voûte plantaire .
Comment se forme-t-elle ? C’est un processus en deux temps :
- Inflammation : Des microtraumatismes répétés (course, station debout prolongée, surpoids) créent des tensions excessives sur l’aponévrose, provoquant des microlésions et une inflammation à son insertion sur l’os.
- Calcification : Pour “stabiliser” cette zone fragilisée, le corps y dépose du calcium. Cette ossification locale forme progressivement une petite excroissance osseuse : l’épine .
Le Vrai Coupable : L’Inflammation, pas l’Épine
C’est un point crucial à comprendre : l’épine en elle-même n’est pas douloureuse. De nombreuses personnes ont une épine calcanéenne visible à la radiographie sans jamais ressentir la moindre douleur .
La douleur provient de l’inflammation des tissus mous environnants (aponévrose, tendons) et des tensions qui s’y exercent .
Symptômes Typiques
Le tableau clinique est très caractéristique :
- Douleur vive, comme un clou ou une aiguille plantée sous le talon.
- Survenant principalement le matin au premier lever ou après une période d’immobilité prolongée.
- La douleur a tendance à diminuer après quelques pas (en “chauffant”), pour parfois réapparaître en fin de journée ou après un effort.
- Sensibilité à la pression sous le talon.
Facteurs de Risque Mécaniques (Les Causes Principales)
Les causes classiques sont bien établies et restent le socle du diagnostic :
| Facteur de Risque | Explication |
|---|---|
| Biomécanique | Pieds plats, pieds creux, démarche anormale qui modifie la répartition des pressions. |
| Activité physique | Course à pied, sports à fort impact, surtout sans échauffement ou sur sols durs. |
| Chaussures inadaptées | Chaussures trop plates, sans amorti, tongs, ou au contraire talons trop hauts. |
| Surpoids et obésité | Augmentation mécanique de la charge supportée par le talon. |
| Âge | Plus fréquent après 40-50 ans, avec la diminution de la flexibilité du fascia et l’amincissement du coussinet graisseux du talon. |
Avis de Karine Poirier, Pédicure-Podologue : “Au départ, souvent, il n’y a pas encore d’épine calcanéenne visible à la radio. C’est une inflammation de l’insertion de l’aponévrose plantaire au niveau du calcanéum. Il est important de consulter dès ce premier stade inflammatoire afin de ne pas enclencher une inflammation chronique qui pourrait durer plusieurs mois” .
Le Lien Foie-Intestin : Une Hypothèse Intégrative
Maintenant que les bases sont posées, intéressons-nous au cœur de notre sujet : comment la santé de votre foie et de vos intestins peut-elle influencer une douleur au talon ?
Il faut aborder ce lien comme une hypothèse intégrative et non comme une causalité directe et prouvée dans 100% des cas . L’idée est que des déséquilibres internes peuvent créer un terrain inflammatoire favorable qui aggrave les problèmes mécaniques et empêche la guérison.
1. L’Intestin : Porte d’Entrée de l’Inflammation
L’intestin n’est pas qu’un simple tube digestif. C’est une barrière sophistiquée qui laisse passer les nutriments tout en bloquant les substances indésirables (toxines, bactéries, particules alimentaires mal digérées).
- L’hyperperméabilité intestinale (“leaky gut”) : Sous l’effet du stress, d’une alimentation déséquilibrée (trop de sucre, d’alcool, d’aliments ultra-transformés), d’un déséquilibre du microbiote, cette barrière peut s’altérer et devenir plus perméable . Des fragments bactériens et des molécules pro-inflammatoires passent alors dans la circulation sanguine.
- Conséquence : Cette “fuite” active en permanence le système immunitaire et entretient une inflammation chronique de bas grade dans tout l’organisme . Le fascia plantaire, déjà fragilisé par des tensions mécaniques, devient une cible de choix pour cette inflammation systémique.
Témoignage de Laurent, 49 ans : “Je souffrais d’une épine calcanéenne depuis plus d’un an. J’avais tout essayé : kiné, semelles, ondes de choc… Ça soulageait un temps, mais ça revenait toujours. En parallèle, j’avais des ballonnements et une fatigue chronique. Un naturopathe m’a parlé du lien possible et on a travaillé sur mon alimentation. En réduisant les aliments inflammatoires et en prenant des probiotiques, non seulement ma digestion s’est améliorée, mais la douleur au talon a progressivement disparu. Je n’aurais jamais fait le lien tout seul.”
2. Le Foie : Filtre Dépassé et Inflammation
Le foie est l’organe filtre par excellence. Il a pour mission de neutraliser et d’éliminer les toxines provenant de l’alimentation, de l’environnement et du métabolisme.
- La surcharge hépatique : Si le foie est “débordé” (par une alimentation trop riche, une consommation d’alcool, des médicaments, ou à cause de l’afflux de toxines lié à l’hyperperméabilité intestinale), il fonctionne au ralenti . Les déchets métaboliques, dont les acides, s’accumulent dans l’organisme.
- Conséquence : Cette accumulation de toxines et de déchets acides contribue à l’inflammation générale et peut fragiliser les tissus conjonctifs, comme les tendons et les fascias . Un foie fatigué perturbe aussi l’assimilation de nutriments clés (magnésium, zinc) essentiels à la bonne santé de ces tissus .
| Organe | Dysfonctionnement Possible | Conséquence sur l’Inflammation |
|---|---|---|
| Intestin | Hyperperméabilité, déséquilibre du microbiote | Passage de toxines dans le sang, activation du système immunitaire, inflammation systémique. |
| Foie | Surcharge, engorgement | Moins bonne filtration des toxines, accumulation de déchets acides, carences en nutriments essentiels. |
Limites des Preuves : Rester Mesuré
Il est important de souligner que ce lien, bien que physiologiquement plausible, relève encore largement d’observations cliniques et de mécanismes hypothétiques . La science actuelle confirme le rôle majeur des facteurs mécaniques. Les liens digestifs et hépatiques sont une piste complémentaire à explorer, surtout en cas d’échec des traitements classiques ou de présence de signes digestifs associés. Il ne faut en aucun cas négliger la consultation d’un spécialiste (podologue, rhumatologue) pour un diagnostic précis .
Signes à Surveiller et Plan d’Action Global
Si vous souffrez d’une épine calcanéenne tenace, voici une approche MECE (Mutuellement Exclusive, Collectivement Exhaustive) qui combine le traitement local indispensable et le soutien de l’axe foie-intestin.
Signes Digestifs et Généraux à Surveiller
Posez-vous ces questions :
- Avez-vous souvent des ballonnements, des gaz, des digestions lourdes ?
- Votre transit est-il irrégulier (constipation, diarrhée) ?
- Ressentez-vous une fatigue chronique, surtout après les repas ?
- Avez-vous une sensibilité au niveau du foie (côté droit, sous les côtes) à la palpation ?
- Des problèmes de peau (eczéma, psoriasis) ?
Si vous répondez “oui” à plusieurs de ces questions, l’approche globale peut être particulièrement pertinente pour vous.
Plan d’Action en 2 Axes
Axe 1 : Traiter le Problème Local (Indispensable)
On ne le répétera jamais assez : il faut d’abord s’occuper de la mécanique. Consultez un podologue ou un kinésithérapeute pour :
- Décharger le talon : Semelles orthopédiques sur mesure, talonnettes amortissantes.
- Étirer et assouplir : Étirements du mollet et du fascia plantaire (essentiels le matin avant de poser le pied à terre).
- Renforcer : Exercices de renforcement des muscles intrinsèques du pied.
- Soulager l’inflammation aiguë : Application de glace (10-15 min) après les activités.
- Traitements médicaux : Ondes de choc (efficacité prouvée de 50 à 65% dans les cas chroniques ), infiltration (à utiliser avec prudence).
Axe 2 : Soutenir le Foie et l’Intestin (L’Approche Globale)
Cet axe vise à “éteindre le feu” de l’inflammation systémique.
Alimentation anti-inflammatoire :
- À favoriser : Légumes verts et colorés, poissons gras (oméga-3), fruits à coque, huiles végétales de qualité (olive, colza), aliments fermentés (choucroute, kéfir) pour le microbiote.
- À réduire/éviter : Sucres raffinés, aliments ultra-transformés, excès d’alcool, produits laitiers et viandes rouges en excès (effet acidifiant possible).
- Hydratation : Boire suffisamment d’eau (1,5L par jour) pour aider le foie à éliminer les toxines.
Compléments et Plantes (avec avis médical) :
- Plantes hépatiques : Chardon-Marie, radis noir, artichaut pour soutenir la fonction du foie.
- Probiotiques : Pour rééquilibrer la flore intestinale.
- Nutriments clés : Magnésium, vitamine D, zinc, oméga-3, souvent en déficit.
Citation d’un expert (site Dendris) : “L’épine calcanéenne ne doit pas être envisagée comme un simple problème mécanique. En prenant en compte l’état du foie et de l’intestin, il est possible d’agir sur les causes profondes de l’inflammation. Une alimentation adaptée, des plantes détoxifiantes et un soutien du microbiote intestinal peuvent apporter un soulagement durable et prévenir les récidives” .
Conclusion : Vers une Prise en Charge Holistique
L’épine calcanéenne n’est pas une fatalité. Si les causes mécaniques sont premières et doivent être traitées en priorité, l’approche qui consiste à considérer le corps dans sa globalité ouvre des perspectives passionnantes, surtout pour les douleurs chroniques et rebelles. En prenant soin de votre intestin (votre barrière) et de votre foie (votre filtre), vous agissez sur l’inflammation de fond qui peut entretenir la douleur au talon. N’hésitez pas à consulter des professionnels de santé capables d’allier ces deux regards : podologue ou kinésithérapeute pour le local, et médecin nutritionniste ou naturopathe pour la partie “terrain”.
Foire Aux Questions (FAQ)
Q : Mon problème de digestion peut-il être la cause unique de mon épine calcanéenne ?
R : Non, c’est très improbable. La cause est quasi toujours multifactorielle, avec une composante mécanique forte. Le déséquilibre digestif agit comme un facteur aggravant qui empêche la guérison ou chronicise la douleur .
Q : Par où commencer ?
R : Commencez toujours par consulter un podologue ou un rhumatologue pour confirmer le diagnostic et mettre en place les bases du traitement (semelles, exercices). Si après plusieurs semaines les progrès sont lents et que vous avez des signes digestifs, élargissez alors l’approche avec un professionnel compétent en micronutrition .
Q : Les compléments alimentaires suffisent-ils à me guérir ?
R : Non. Ils sont des adjuvants au traitement mécanique. Prendre des probiotiques sans faire ses étirements ni porter ses semelles a peu de chances d’être efficace. L’effet est synergique .
Q : Combien de temps faut-il pour voir une amélioration ?
R : C’est très variable selon les personnes et la chronicité du problème. Le traitement local peut apporter une amélioration en quelques semaines. L’approche nutritionnelle, elle, s’inscrit dans la durée et ses effets sur l’inflammation générale se voient plutôt sur 2 à 3 mois.
Sources
- Arthrose-cervicale.fr – Tout savoir sur l’épine calcanéenne
- Arbredesdonateurs.fr – Epine calcanéenne et foie intestin : comprendre le lien
- Semello-boutique.com – 17 traitements pour soulager l’épine calcanéenne
- Hirslanden.com – Épine calcanéenne – symptômes & traitement
- Epitact.fr – Ondes de chocs pour l’épine calcanéenne
- Le-guide-sante.org – Épine calcanéenne : symptômes, prise en charge
- Journaldesfemmes.fr – Épine calcanéenne : symptômes, une douleur comme une aiguille ?
- Kra-lyon.fr – Soulager une épine calcanéenne : les exercices de kiné à connaître
- Dendris.fr – Le lien entre épine calcanéenne, foie et intestin

